
Angeborene Herzfehler gehören zu den bei Babys am häufigsten auftretenden Fehlbildungen.
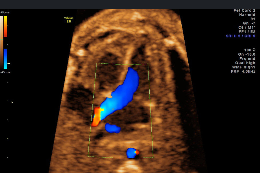
Echokardiographie oder Herzecho nennt man die Ultraschall-Untersuchung des Herzens. Ziel der fetalen Echokardiografie ist es, Herzfehlbildungen und Herzfunktionsstörungen frühzeitig zu erkennen beziehungsweise auszuschließen.
Eine exakte Diagnose ist wesentlich für eine frühzeitige Beratung mit Spezialisten wie Kinderkardiologen und Herzchirurgen. Nur so können wir eine optimale Betreuung des Kindes vor und nach der Geburt gewährleisten. Bei einer Fehlbildung sollte die Entbindung in Kliniken mit entsprechenden Spezialisten erfolgen.

